超聲開路 精準介入——周口市中醫院心病一病區成功實施首例血管內超聲(IVUS)指導下經皮冠狀動脈支架置入術
4月30日,我院心病一病區主任李斌,湯繼海副主任醫師成功為一名冠心病患者實施了我院首例血管內超聲(IVUS)引導下經皮冠狀動脈支架置入術,該項技術的臨床應用標志著我院冠心病的介入診療水平又上了一個新的臺階,也開啟了醫院冠心病精準介入診療的“心時代”。

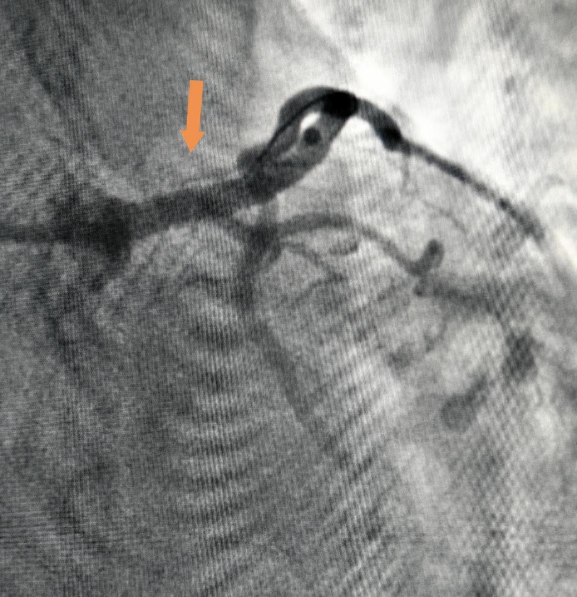
患者李先生,因“發作性胸痛伴咽喉部緊縮感2月”在我院心病一病區住院治療,冠脈造影檢查提示前降支近端狹窄85%。

治療前造影提示前降支近端85%狹窄
為精準實施治療,心病一病區介入團隊決定在血管內超聲(IVUS)引導下為患者行冠狀動脈介入術。經團隊密切配合,結合冠脈造影,順利完成血管內超聲(IVUS)檢查,發現患者病變血管最小直徑僅2.02mm,管腔面積3.09mm2,斑塊負荷達到74%。

術前最小直徑僅2.02mm,管腔面積3.09mm2,斑塊負荷達到74%
團隊根據超聲測量的血管情況,選擇植入合適的支架,完全覆蓋斑塊,再應用IVUS指導擴張支架,復查IVUS,術后管腔最小直徑僅3.59mm,管腔面積9.98mm2,斑塊負荷達到42%。清楚地顯示植入支架直徑與血管直徑完全匹配,血管通暢,支架貼壁情況良好,無夾層、血腫等并發癥,術后患者恢復良好,胸痛癥狀消失。

術后管腔最小直徑僅3.59mm,管腔面積9.98mm2,斑塊負荷達到42%

治療后血管完全再通
血管內超聲技術優勢
冠脈血管內超聲(IVUS)是無創性的超聲技術和有創性的導管技術相結合的一種新的診斷方法。是在傳統的冠脈造影基礎上,把微型化的超聲探頭置于導管頭端,置入冠脈血管腔內進行顯影,不僅可細致地觀察冠脈管壁結構和管腔形態,還可準確地測量血管腔直徑、管腔面積、斑塊面積,明確斑塊性質和偏心程度,進而指導介入醫師置入支架并觀察支架置入位置是否合適、支架是否貼壁良好、擴張是否充分、支架兩端有無夾層,并可降低后續血栓形成等并發癥,在指導血管臨界病變,左主干病變和分叉病變等的診治方面,IVUS檢查提高了病變診斷的準確性,并優化冠脈介入治療(PCI)的策略,對支架種類選擇和效果評價有著非常重要的指導意義,從而為患者實施真正精細化診療,更好地改善心血管疾病預后。
周口市中醫院心病一病區開展血管內超聲(IVUS)在冠脈介入術中的成功應用,將進一步提升在心血管疾病精準、個體化治療方面的水平,更好的為廣大心血管疾病患者提供更為優質的醫療服務。
文字:心病一病區 李斌
編輯:李 銳
責編:趙文博
審核:黎倩平


